From Scarred to Radiant : Your Skin Can Heal

MOST PEOPLE DON’T KNOW THESE ACNE SCAR
TREATMENTS, UNTIL THEY SEE THE RESULTS !

If you’ve been dealing with Acne Scars, then you probably already know that it’s not just about your skin, it’s about how you feel when you look in the mirror. And here’s the thing: you’re not alone!
At Spring Skin & Hair Treatment Clinic, we meet people every day who’ve tried creams, home remedies & filters; and still feel stuck. But not to worry, there is a way forward and we’re
here to walk that journey with you.Whether you’re someone looking for real results or a fellow healthcare professional exploring current options, this blog breaks it all down in a clear and practical way.

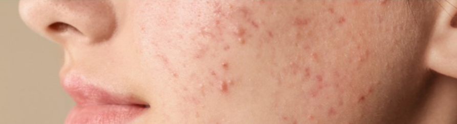
WHAT EXACTLY ARE ACNE SCARS?

When a pimple gets inflamed and doesn’t heal properly, it can leave behind a mark, not just on the skin, but sometimes on your confidence too. These scars come in different forms :

  • Ice pick scars – tiny but deep pin-like marks
  • Boxcar scars – wide and crater-like
  • Rolling scars – shallow, wave-like texture
  • Post-inflammatory hyperpigmentation (PIH) – dark spots (technically not scars,
    but just as annoying

And if you’ve been told that “It’ll fade on its own,” you’re not wrong. But often time it takes years.
And that’s where a right treatment option can help you get rid away off those stubborn scars.

WHAT’ IS THE RIGHT WAY TO TREAT ACNE SCARS?

At Spring Clinic, we don’t do that one-size-fits-all. Because it’s your skin and it shouldn’t be compromised, after all It’s unique! That’s why we start with a proper consultation, understand your skin history and then plan out a treatment suitable for your skin type.
Here are the treatments we swear by ( because they work! )

  • MNRF (Microneedling with Radiofrequency)

Imagine tiny, super-precise needles creating micro-injuries and then sending in radiofrequency
energy to tell your skin that “Hey, time to produce some fresh collagen!”
It’s like tricking your skin into healing smarter. It is proven beneficial, due to

  • Great for deeper scars
  • Minimal downtime
  • Results usually start showing after 2–3 sessions

Well, as the needling term comes up, no need to worry about! Cause, we numb the area first, so
that the treatment gets comfortable with appropriate care taken off!

  • Microdermabrasion

This one’s like giving your skin a gentle reboot. It exfoliates the surface layer, removes dead
cells and encourages fresher skin to come through.

  • Best for light scarring and dark spots
  • No pain, no downtime
  • Often paired with other treatments to speed up results
  • CO₂ Laser + Mesotherapy Combo

CO₂ laser goes deep to resurface the skin which sounds intense, but it’s highly controlled
and super effective. It smooths out rough textures and encourages collagen growth.
Mesotherapy steps in right after with a cocktail of skin nutrients injected just beneath the
surface. And it is like providing the exact nutrients what your skin needs. This combo is highly
recommended for stubborn acne scars, especially for Indian skin types.

  • Customized Plans for Every Face

We don’t just treat skin, we treat people. Your job, your comfort zone, your timeline; all of it
matters when we customize a plan for you. You might get a combination of 2 or 3 treatments.
You’ll definitely get guidance, care, and a clear roadmap.

Post-Treatment care for Acne Care
We won’t just treat you and wave goodbye. Aftercare is a big deal and we’ll guide you on

  • Skincare routine post-treatment
  •  Sun protection (non-negotiable!)
  • What to avoid during recovery
  • When to come in for touch-ups or follow-ups


Frequently Asked Questions

  1. What is the best treatment for acne scars?
    The best treatment depends on your scar type and skin tone. At Spring Skin & Hair Clinic, we typically recommend Microneedling RF, CO2 laser resurfacing or Mesotherapy. All of these treatments are safe and effective for almost all skin types. However, a personalized consultation helps determine the ideal approach.
  2. Are acne scar treatments safe for sensitive or dusky skin tones?
    Yes, our treatments are designed with skin-of-colour safety in mind. Technologies like fractional lasers and RF microneedling are tailored to reduce post-treatment pigmentation risks, making them ideal fordusky and sensitive skin.
  3. How many sessions are needed to remove acne scars permanently?
    Complete removal depends on the depth and age of your scars, but noticeable improvements often begin after 3 to 6 sessions. Permanent removal may require multiple treatments combined with ongoing skin maintenance.
  4. Is there downtime after Acne Scar treatment?
    Most treatments, like Microneedling RF, have minimal downtime, typically 1–3 days of mild redness. CO2 lasers may involve a slightly longer recovery period. You’ll receive post-care instructions to ensure optimal healing.
  5. Can acne scars come back after treatment?
    Once treated, scars do not usually return. However, if new acne occurs and isn’t managed properly, new scars can form. That’s why we also guide you on acne prevention and skincare routines alongside treatment.
  6. How much do acne scar treatments cost?
    Prices vary depending on the treatment type and number of sessions required. At Spring Skin & Hair Clinic, Chiplun, we offer affordable acne scar treatments with customized packages. Consultations are available to guide you on the best fit for your budget and skin needs.It’s best to wait at least 24–48 hours post-treatment before applying makeup to allow your skin to heal. We also recommend using noncomedogenic, dermatologist-approved products.
  7. Which is better: Microneedling RF or CO2 laser for acne scars?
    Both works well, but the right choice depends on your scar type, skin sensitivity and
    downtime tolerance. Microneedling RF is gentler with less downtime, while CO2 laser
    delivers deeper resurfacing for stubborn scars.
  8. Can I wear makeup after acne scar treatment?
    It’s best to wait at least 24–48 hours post-treatment before applying makeup to allow your
    skin to heal. We also recommend using non-comedienne, dermatologist-approved
    products.

Always consult with a skin expert before deciding on
treatment. DIY solutions or salon treatments might
worsen your scars. A qualified dermatologist will
provide safe, lasting results tailored to your skin

Conclusion :
Scars are part of your story, but they don’t have to be the headline. If you’re ready to turn the
page and give your skin a real shot at recovery, we’re ready too.
All our treatments are done by trained professionals, using USFDA-approved machines, following globally recognized protocols.

Reach out to us and consult for scar-free and smooth skin experience!

Clinic Address : Springs Skin Care Clinic
JadDe Garden, Swarvihar Gruha Sankul, Khend, Chiplun- 415605
Book an Appointment: response@springskinandhairtreatment.com
Call us On : 9730906216 | 7998494949 | 9673956514 | 7588477690

Facebook : https://www.facebook.com/profile.php?id=61561154461803
Instagram : https://www.instagram.com/springclinic2024?igsh=cXIzNzdpdXMxcGY2MxcGY2